El proyecto, liderado por especialistas del CONICET y de la Universidad Favaloro, apunta a crear una herramienta de apoyo para que los radiólogos efectúen diagnósticos más precisos y con mayor rapidez, con el fin de prevenir infartos, accidentes cerebrovasculares y otros eventos vasculares.
Un sistema que integra Inteligencia Artificial (IA) y procesa de manera rápida estudios de tomografía del corazón para realizar diagnósticos más precisos fue desarrollado por especialistas del CONICET y de la Universidad Favaloro.
La herramienta está en una fase de prototipo y demostró tener una tasa de efectividad que superó el 95% tras analizar imágenes de casi 1.200 pacientes. El trabajo, que busca mejorar el diagnóstico para la prevención de infartos, accidentes cerebrovasculares (ACV) y otros eventos vasculares, se describe en la revista Biomedical Physics and Engineering Express y se realizó con la colaboración de radiólogos de la Unidad de Imágenes Cardiovasculares del Hospital Europeo Georges Pompidou, en París, Francia.
«Nuestro sistema no está aún preparado para ser transferido al ámbito médico, pero hemos dado un paso en esa dirección. Queremos que funcione como una herramienta de apoyo al radiólogo, que acelere su trabajo, pero siempre brindándole la posibilidad de verificar visualmente la detección automática para que pueda corregir y validar», señala Damián Craiem, director del estudio, investigador del CONICET y jefe del Laboratorio de Bioingeniería en el Instituto de Medicina Traslacional, Trasplante y Bioingeniería (IMETTyB, CONICET-Universidad Favaloro).
Una de las principales enfermedades vasculares es la aterosclerosis, que consiste en la acumulación patológica de lípidos dentro de la pared arterial. Estas placas lipídicas envejecen y pueden calcificarse, desencadenando infartos, ACV y otros eventos vasculares.
«En pacientes con indicios de enfermedad cardiovascular, la detección del calcio coronario y aórtico con imágenes de tomografía ha demostrado ser una herramienta efectiva para mejorar la prevención temprana. Nuestro sistema con IA detecta y mide de forma rápida y precisa el calcio que figura en esas imágenes», explica Craiem. Y continúa: «La presencia de calcio en las arterias coronarias está asociada a un aumento del riesgo de infartos. Por otra parte, hace varios años que estudiamos el calcio aórtico, ya que hay indicios de que es más específico para predecir eventos extracoronarios como los accidentes cerebrovasculares».

Procesamiento automático de tomografías del corazón
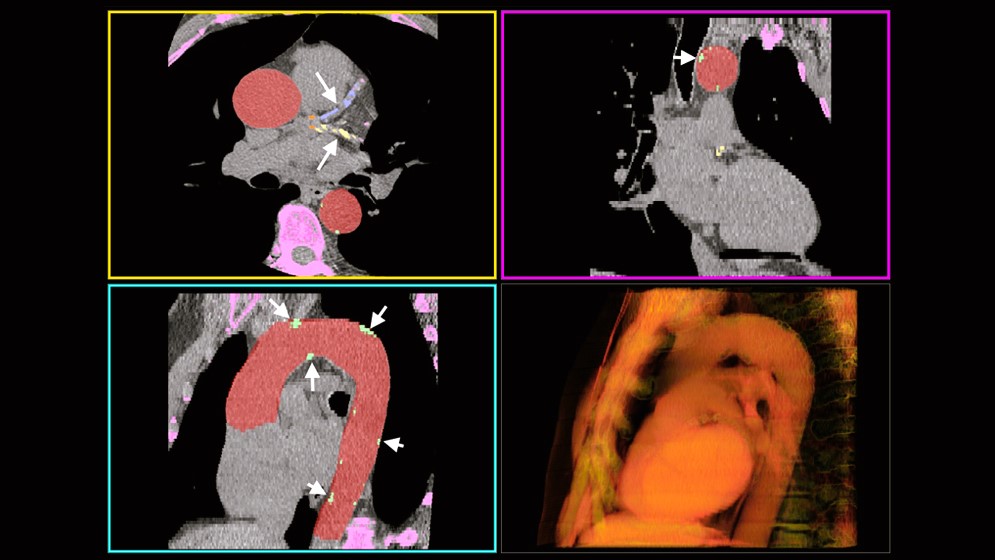
El calcio vascular se observa en las tomografías como manchas blancas que aparecen en los bordes de las paredes arteriales. Para medirlo, el radiólogo utiliza generalmente un software que le permite explorar plano a plano el corazón y las arterias, resaltar los candidatos que pueden ser potenciales lesiones y luego hacer clic sobre cada uno para validarlos. «Un paciente puede tener decenas de calcificaciones y este procedimiento suele ser largo y tedioso. Nuestro proyecto consistió en entrenar un software para que primero aprenda a reconocer la aorta, donde se forman las calcificaciones, y luego busque potenciales lesiones y decida cuáles son verdaderas. En un par de minutos, el sistema de IA entrega las mediciones de calcio que a un radiólogo a veces puede llevarle entre 15 y 30 minutos», puntualiza Craiem. Y agrega: «En resumen, el sistema basado en IA permite medir automáticamente un score de calcio torácico. Como el riesgo de los eventos cardiovasculares está asociado a la cantidad de calcio en las arterias, esta herramienta automática ayuda a los cardiólogos a mejorar los tratamientos preventivos».
El sistema desarrollado por los especialistas del CONICET y de la Universidad Favaloro fue testeado para analizar tomografías de calcio aórtico de 1.190 pacientes (80% hombres y 20% mujeres de entre 48 y 66 años de edad) y se comprobó que su desempeño tuvo una tasa de efectividad que superó el 95%.
«En medicina lo más ético es interesarse sobre los errores del sistema y no solo sobre sus aciertos. ¿Qué sucede con ese 5% de error? ¿Cuántos pacientes son? ¿Qué consecuencias puede provocar el error de medición sobre el diagnóstico de esas personas? Nuestro sistema fue diseñado para que, en caso de cometer un error, lo haga hacia arriba. Es decir, sobrestimando la cantidad de calcio y nunca subestimando. Esto permite que, en el peor de los casos, el sistema informe un valor de calcio mayor al que corresponde y que el médico pueda evaluar y corregir la medición», explica Craiem. Y continúa: «Nuestro sistema está diseñado no solo para calcular el score de calcio e informar un número, sino para que el radiólogo pueda ver en pantalla las calcificaciones detectadas y dar su opinión sobre la detección».
La detección del calcio vascular se realiza como una medición de prevención primaria, es decir, que se busca prevenir eventos severos como un infarto o un ACV. En función de la cantidad de calcio encontrado, al paciente se le realizan recomendaciones que pueden ir desde un cambio de dieta, actividad física o terapias para dejar de fumar, hasta el tratamiento con medicamentos para controlar la presión y el colesterol. «También el resultado de una exploración de calcio puede arrojar buenas noticias. Los pacientes sin calcio vascular suelen tener riesgos muy bajos de eventos cardiovasculares», afirma Craiem.
Para Elie Mousseaux, radiólogo cardiovascular del Hospital Europeo Georges Pompidou (HEGP) y colaborador de la investigación, «el trabajo de cooperación de más de 20 años con los investigadores del CONICET y de la Universidad Favaloro es muy fructífero para nosotros porque nos permite, como cardiólogos expertos en radiología, interactuar directamente con ingenieros biomédicos que son capaces de programar las aplicaciones innovadoras de procesamiento de imágenes».
«Los equipos comerciales, como resonadores y tomógrafos, en general están asociados a plataformas de medición estándar que no nos permiten innovar. La posibilidad de trabajar con bioingenieros del CONICET y de la Universidad Favaloro que estudian las técnicas de IA aplicadas a imágenes de cardiología nos permite ser creativos, mirar más allá de lo que existe y proponer nuevas herramientas de vanguardia para realizar mejores diagnósticos y evaluar nuevos tratamientos», destaca Gilles Soulat, médico del HEGP y también colaborador del trabajo.
«A diferencia de otras técnicas más clásicas de detección de calcio, las basadas en IA requieren un tiempo de maduración antes de ser aplicadas en la clínica diaria. En eso estamos trabajando con el fin de aportar al desarrollo de una herramienta que sirva para mejorar la salud de los pacientes», concluye Craiem, quien es ingeniero electrónico con Magíster en Ingeniería Biomédica y doctorado en la UBA y en la Universidad Paris Descartes, en Francia.

Del estudio también participaron Federico Guilenea, ingeniero biomédico y becario doctoral del CONICET en el grupo liderado por Craiem en el IMETTyB, y Mariano Casciaro, ingeniero biomédico, doctorado en la UBA e investigador del CONICET.
Referencia bibliográfica
Guilenea, F. N., Casciaro, M. E., Soulat, G., Mousseaux, E., & Craiem, D. (2024). Automatic thoracic aorta calcium quantification using deep learning in non-contrast ECG-gated CT images. Biomedical Physics & Engineering Express, 10(3), 035007.
Autor: Bruno Geller
