Más de doscientos médicos en todo Estados Unidos tratan a pacientes que sufren misteriosas enfermedades que han puesto en riesgo su vida y están relacionadas con el vapeo.
Por Sheila Kaplan y Matt Richtel.
Un joven de 18 años llegó a una sala de emergencias en Long Island, jadeando, vomitando y mareado. Cuando un médico le preguntó si había estado vapeando, le respondió que no.
El hermano mayor del paciente, un policía, comenzó a sospechar. Buscó en la habitación del joven y encontró contenedores para vapear marihuana.
“No sé dónde los compró. No lo sabe”, dijo Melodi Pirzada, neumóloga pediátrica jefa del Hospital NYU Winthrop en Mineola, Nueva York, que atendió al joven. “Por suerte, sobrevivió”.
Pirzada es una de los muchos médicos en todo el país que tratan pacientes -ahora más de 215- que sufren misteriosas enfermedades relacionadas con vapear (vaping), las cuales han amenazado sus vidas a mediados de este año. El brote “se está convirtiendo en una epidemia”, comentó. “Algo está muy mal”.

Credit Johnny Milano para The New York Times
Los pacientes, la mayoría adolescentes o personas de veintitantos años, sanos en otros aspectos, llegan jadeando mucho y con dificultades graves para respirar, a menudo después de haber sufrido varios días de vómitos, fiebre y cansancio. Algunos han terminado en la unidad de cuidados intensivos o les han puesto respiradores durante semanas. El tratamiento se ha complicado debido a la falta de conocimiento de los pacientes -y a veces la negación directa- sobre las sustancias que quizá hayan usado o inhalado.
Los investigadores sanitarios ahora están tratando de determinar si una toxina o una sustancia específica se coló en el suministro de productos de vapeo, si algunas personas reusaron cartuchos que contienen contaminantes o si el riesgo se origina en un comportamiento más amplio, como el uso frecuente de cigarros electrónicos, el vapeo de marihuana o una combinación de ambos.
El 30 de agosto, se emitió una advertencia de los Centros para el Control y la Prevención de Enfermedades (CDC) a los adolescentes y otros consumidores. En el comunicado, les dicen a los jóvenes que dejen de comprar cigarros electrónicos y cannabis ilegales o de la calle, y que dejen de modificar los dispositivos para vapear sustancias adulteradas.
Las enfermedades han llamado la atención respecto de una tendencia que ha sido opacada por la intensa preocupación pública acerca del uso en aumento de cigarros electrónicos por parte de los adolescentes, con su potencial para hacer adicta a la nicotina a una nueva generación: el ascenso del dispositivo de vapeo. Ha presentado un cambio generalizado en la manera en que las personas consumen nicotina o marihuana, pues ahora inhalan ingredientes vaporizados.
El vapeo funciona calentando líquido y convirtiéndolo en un vapor que se inhala. Hablando de manera generalizada, los cigarros electrónicos son considerados menos nocivos que los cigarrillos tradicionales, que funcionan a través de la combustión de tabaco, los cuales envían miles de químicos, muchos cancerígenos, a los pulmones.
Sin embargo, el vapeo tiene sus propios problemas: para volverse inhalables, la nicotina y el THC, la sustancia psicoactiva de la marihuana, deben mezclarse con solventes que disuelven y transportan las sustancias. Los solventes, o aceites, se calientan durante la aerosolización para convertirse en vapor. Sin embargo, algunas gotas de aceite podrían inhalarse cuando el líquido se enfría, las cuales podrían causar problemas respiratorios e inflamación pulmonar.
“Inhalar aceite es muy peligroso para los pulmones y podría causar la muerte”, dijo Thomas Eissenberg, que estudia el vapeo en la Universidad Estatal de Virginia. “Ese es probablemente el mensaje que podemos concluir al respecto”.
Muchas sustancias no se mencionan en las listas de ingredientes de los cigarros electrónicos. El aceite de vitamina E parece ser una sustancia común asociada con los problemas respiratorios graves y repentinos en algunos de los casos de Nueva York, de acuerdo con funcionarios estatales de salud. No se sabe cómo se utilizó. La vitamina E a veces se anuncia como suplemento en el aceite de cannabidiol, el cual no está diseñado para el vapeo pero se ha utilizado de esa manera.
Scott Gottlieb, excomisionado de la Administración de Alimentos y Medicamentos (FDA), dijo que sospechaba que había un vínculo con productos ilícitos -quizá relacionados con ingredientes que incluyen THC- porque los principales fabricantes de cigarros electrónicos no habían alterado sus ingredientes de manera repentina a gran escala. “Quizá es algo nuevo que introdujo al mercado un fabricante ilegal, ya sea un nuevo sabor o una nueva manera de emulsionar THC, lo que está causando estas lesiones”, comentó.
Los brotes han generado una crisis para dos industrias emergentes -la de los cigarros electrónicos y la cannabis legal- que se han anunciado como benéficas para la salud pública. Quienes simpatizan con los cigarros electrónicos consideran que la tecnología es una alternativa más segura que fumar, mientras que la cannabis se ha vendido políticamente como la “marihuana medicinal” y como sustituto para los agricultores de tabaco.
Ahora, algún subconjunto de estos productos está provocando una grave enfermedad pulmonar que incluso los cigarrillos -aunque son letales a largo plazo- no les causan a los jóvenes. Integrantes de grupos de presión y el funcionariado de las compañías de ambas industrias están esforzándose por culpar a los productos no regulados.
La avalancha de enfermedades ha hecho que Juul Labs, fabricante del dispositivo del cigarro electrónico éxito en ventas al que se culpa por el aumento del vapeo en los adolescentes, llegue de nuevo a los encabezados. En una entrevista en televisión, Kevin Burns, director ejecutivo de la compañía, dijo que no sabía de pruebas que vincularan los casos recientes con los productos Juul.
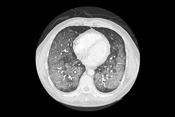
En las tomografías pulmonares, las enfermedades al principio lucen como una neumonía viral o bacteriana grave, pero los análisis no dan señales de infección. “Hemos llevado a cabo muchas pruebas buscando bacterias y virus, pero dan negativo”, dijo Dixie Harris, neumóloga de cuidados intensivos en Salt Lake City, que ha examinado a cuatro pacientes que sufren ese padecimiento y revisó los archivos de nueve más en el estado.
El 6 de agosto, Harris estaba trabajando en un hospital de la zona de Salt Lake City -rechazó proporcionar más detalles para proteger los derechos de privacidad de los pacientes- cuando la llamaron a la unidad de cuidados intensivos para examinar a un paciente que sufría de dicho padecimiento pulmonar grave.
El paciente tenía veintitantos años, usaba con mucha frecuencia cigarros electrónicos y también vapeaba THC.
Más tarde consultó a dos decenas de hospitales en todo el estado para obtener información sobre pacientes con complicaciones pulmonares o problemas de cuidados intensivos. “Vi un segundo caso”, dijo. “Pensé: ‘Esperen un segundo; esto es extraño: dos hospitales, dos jóvenes, dos historias casi idénticas’”.
La siguiente mañana, llamó a Joseph Miner, jefe de Servicios Médicos del Departamento Estatal de Salud de Utah, quien le dijo que intentaría averiguar qué estaba pasando.
Durante las siguientes semanas, Harris vio a dos pacientes más y revisó nueve casos adicionales de Intermountain Healthcare, el grupo hospitalario donde trabaja, que cuenta con veinticuatro hospitales en Utah y Idaho. Dijo que los primeros diez casos eran de ocho hospitales; en total, el estado de Utah informó sobre veintiún casos.
Harris dijo que los cuatro pacientes que había tratado directamente “han estado usando cigarros electrónicos con nicotina constantemente, todo el día. Quizá hay algún efecto de aceleración que provoca inflamación pulmonar debido al aceite de THC”. Agregó que sus entrevistas con pacientes insinuaban que obtenían el líquido de marihuana a través de amigos que viven en estados donde la droga se vende legalmente, como California y Colorado.
Algunos pacientes sufren otro padecimiento conocido como neumonía lipoidea, dijeron los médicos. Cuando los aceites vapeados llegan a los pulmones, estos los tratan como un objeto extraño y detonan una respuesta inmune, que provoca inflamación y la acumulación de líquidos, lo cual puede resultar en una neumonía lipoidea.

Credit Intermountain Healthcare
El aumento de estas enfermedades llega al inicio del año escolar, uno para el que los padres, profesores y administradores ya se habían preparado con el fin de enfrentar el desafío de educar en la época del dispositivo de vapeo, que es fácil de ocultar.
Aunque las preocupaciones de los padres y los profesores se han enfocado en Juul, la realidad es que el mercado de los dispositivos de vapeo y los líquidos con los que se rellenan es enorme y hay muchos productos falsos o caseros, lo cual dificulta la misión de los reguladores y los científicos de enfocar sus esfuerzos en un producto específico.
La Asociación de la Tecnología del Vapor, un grupo comercial de cigarros electrónicos y de la industria del vapeo, les pidió a “los funcionarios que investiguen exhaustivamente las circunstancias que quizá hayan provocado todas las hospitalizaciones de las que se informó, antes de emitir comunicados al público respecto de si ciertos productos están involucrados en estos incidentes”.
La regulación y el estudio de la industria de la marihuana son particularmente complejos. Aunque el gobierno federal aún considera que la cannabis es una sustancia controlada, 33 estados ahora permiten que se venda para su uso recreacional, medicinal o ambos. Se venden cientos de productos de cannabis, legal e ilegalmente, como el aceite de THC, o el aceite de cannabidiol con THC.
La FDA ha advertido a algunos vendedores de suplementos de cannabis que no afirmen que sus productos son buenos para la salud, pero hay más comerciantes que lo están haciendo de los que puede controlar la agencia. La FDA supervisa productos de CBD vendidos como suplementos alimenticios, pero no regula el THC, que es ilegal según la ley federal. La nicotina líquida y el THC, a veces vendidos en cartuchos para su uso en dispositivos de vapeo, pueden contener aceites que quizá sean seguros de ingerir, pero pueden dañar el pulmón cuando se vaporizan en una mezcla de químicos desconocidos.

Credit Nick Cote para The New York Times
Aunque se piensa que los cigarros electrónicos son menos nocivos a largo plazo que los cigarrillos, aún no se sabe cuál es el impacto provocado por años de utilizar estos dispositivos.

Credit Jeenah Moon para The New York Times
Eissenberg, director del Centro para el Estudio de Productos del Tabaco en la Universidad Estatal de Virginia, dijo que se había informado sobre siete casos de lesiones pulmonares similares a causa de cigarros electrónicos en años anteriores.
“Un ingrediente común era la glicerina vegetal, que está hecha de aceite vegetal”, dijo. “Si hay un proceso incompleto, puede quedar aceite en la glicerina vegetal cuando una persona está usando el dispositivo, e inhalar aceite e introducirlo a los pulmones es lo que está causando algunas de las lesiones pulmonares que vemos”.
“Básicamente, lo que debería estar haciendo la FDA es poner a prueba cada uno de estos líquidos para ver si tienen aceite y crear regulaciones que prohíban el aceite en cualquiera de estos productos, ya sean de THC o de nicotina”, dijo Eissenberg, que está llevando a cabo investigaciones sobre el vapeo con una beca de la agencia.

Credit Jason Henry para The New York Times
Nora D. Volkow, directora del Instituto Nacional sobre el Abuso de Drogas, parte de los Institutos Nacionales de Salud, dijo que le sorprendía la gravedad de la enfermedad pulmonar involucrada en los casos de mediados de este año, pero no por la posibilidad de que los productos de vapeo estén provocando este tipo de enfermedades.
“No hay vigilancia”, dijo Volkow. “Nadie está evaluando los productos para verificar que sean puros o para ver si contienen sustancias tóxicas. Debe haber alguna manera de regularlos”.
El adolescente de Long Island, al que le pusieron un dispositivo de asistencia respiratoria en determinado momento, tiene un largo camino que recorrer para recuperarse y los médicos aún no han identificado la causa de su enfermedad.
“Hicieron análisis para encontrar enfermedades infecciosas. Hicieron análisis para encontrar bacterias. Hicieron análisis para encontrar una serie de enfermedades. Todo salió negativo”, dijo su padre. Solicitó mantener su anonimato para proteger la identidad de su hijo. “Nos sentíamos impotentes. No sabíamos qué hacer. Los médicos no sabían qué hacer. Primero tratarían los síntomas y después averiguarían qué lo estaba matando”.
En Illinois, una mujer de treinta y tantos años que hace poco había vapeado fue hospitalizada y murió, dijeron funcionarios de salud el 23 de agosto.
Otro caso reciente involucra a Kevin Corrales, un residente de Queens, de 31 años, que a finales de julio estaba en el asiento trasero de un auto con dirección a la playa de Long Island cuando comenzó a faltarle el aire.
“Fue aterrador”, dijo Corrales. “De verdad estaba jadeando. Me tuvieron que llevar de inmediato al hospital. Creyeron que estaba exagerando”.
Pidió un Uber para que lo llevara a casa. Debido a que estaba demasiado cansado como para subir las escaleras de la casa que comparte con sus padres, se quedó en el sótano varios días hasta que se sintió mejor.
Ese día, en el auto, había estado vapeando con un dispositivo Juul; pero a veces también vapea aceite de THC con otro dispositivo. “Puedo comprar esos aceites como si fueran bolsas de papas fritas”, dijo Corrales.
“Es difícil saber si fue el THC o la nicotina”, dijo Corrales, que usó los cigarros electrónicos para dejar de fumar.
Créditos
Mitch Smith colaboró con este reportaje desde Chicago.
Matt Richtel es autor de libros éxitos en ventas y reportero ganador del Premio Pulitzer que vive en San Francisco. Se unió al equipo de The New York Times en 2000 y su trabajo se ha enfocado en la ciencia, la tecnología, los negocios, así como en las historias impulsadas por las narrativas en torno a estos temas.
Publicado originalmente en New York Times
